Cabinet dentaire des Drs Philippe CHARRIER et Maximilien MASSON
Docteurs en Chirurgie-Dentaire
Cabinet dentaire des Drs Philippe CHARRIER et Maximilien MASSON
Docteurs en Chirurgie-Dentaire

76 rue Pierre Curie
70000 VESOUL

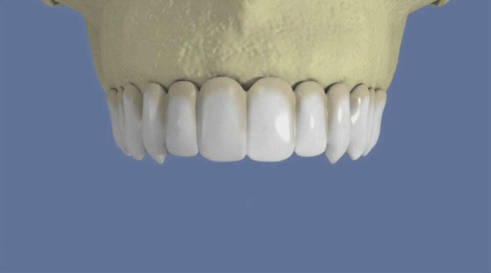
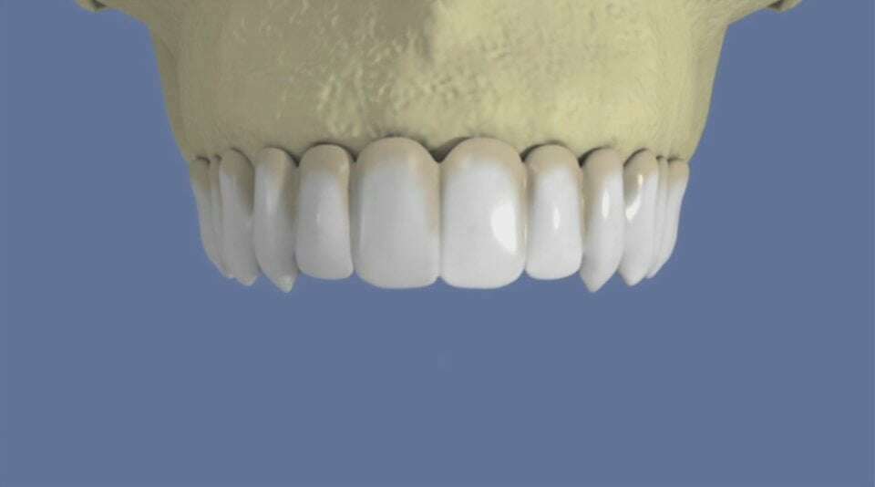
Maxillaire : bridge vissé sans fausse gencive


video-play-icon

Articles similaires

Création par Webdentiste

Connexion